【すべて保険で対応します】
歯の寿命を縮めない
根管治療
- 「CT」で画像診断
- 「ニッケルチタンファイル」で神経除去
- 「MTAセメント」で再発防止
- 「歯根端切除術」で抜歯回避
「セカンドオピニオン」も受け付けています。
お気軽にご相談ください。

【すべて保険で対応します】
「セカンドオピニオン」も受け付けています。
お気軽にご相談ください。

虫歯が進行して、歯の内部の「神経(歯髄)」が虫歯菌に侵されると、神経を取る「根管治療」が必要になります。
神経を取れば、痛みはなくなります。ところが、根管治療を行った患者さんの半数以上は、再び痛みに苦しむことになります。再発です。
再発の理由は簡単です。治療をしても、細菌が残っているからです。
歯の中に残っている細菌が再び繁殖し、炎症を起こします。
東京医科歯科大学の調査によると、根管治療を行った歯の50〜70%について、歯の根の先端に膿が溜まっているのを確認できたそうです。
つまり、半数以上の症例で、炎症が再発したということです。これは、日本における根管治療の成功率が、どんなに高く見積もっても50%程度しかないということを示しています。


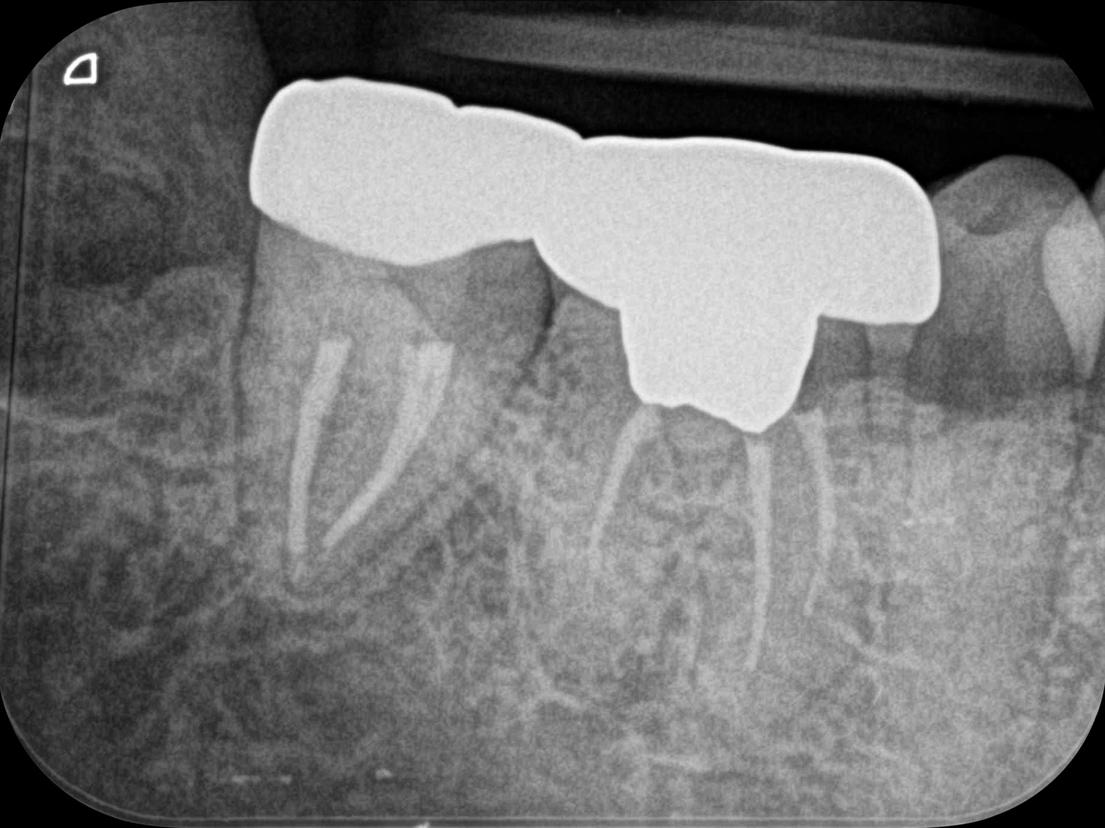
主訴: 噛むと痛い、奥歯が違和感ある
保険治療では発見することが難しい4つ目の神経を
歯を大きく削らずに見つけられます。


主訴: 右下がしみて痛い。
右下7根の根幹治療と親知らずの抜歯


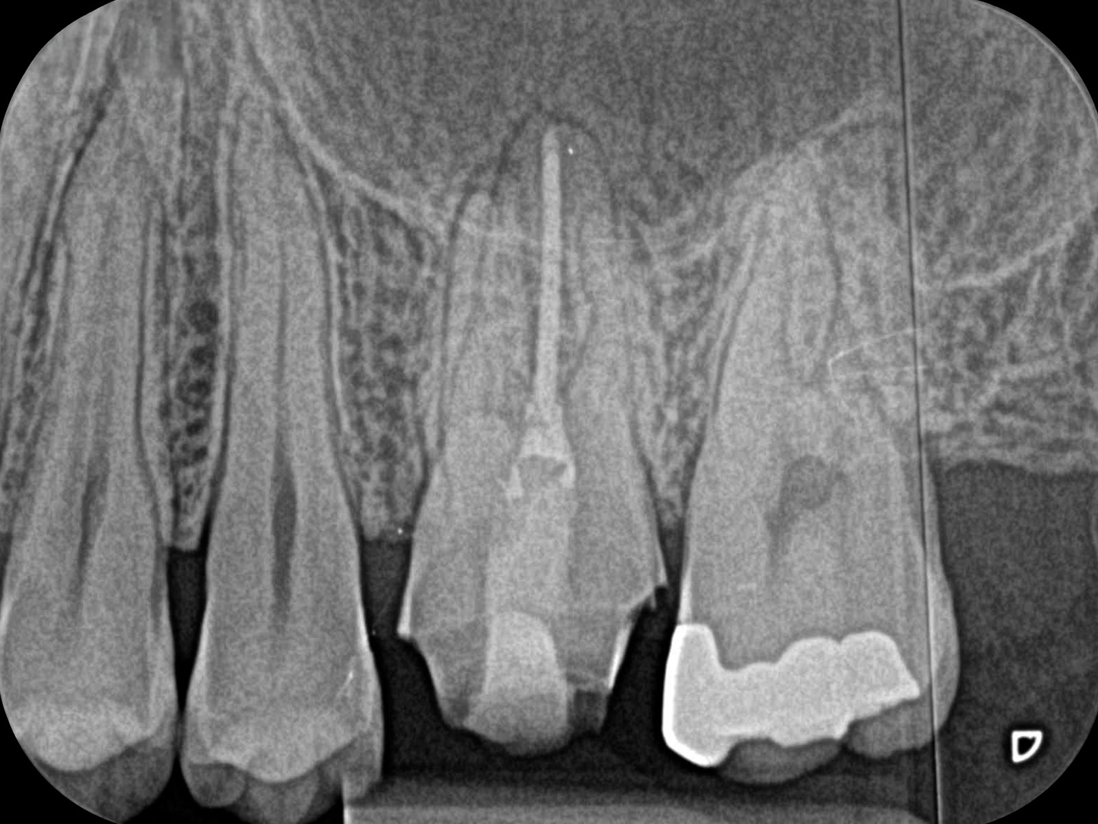
主訴: 噛むと痛い、左で食べれない。他の病院で神経が見つからない。根の先に病気がある。
通常だと手立てがなく、抜歯しかない歯も外科(根尖切除術)で治すことができます。

歯の神経は、歯に栄養を届けるという重要な役割を持っています。神経を取り除いた歯は栄養を取り入れることができなくなり、枯れ木のように弱く、もろくなっていきます。こんな状態で炎症が再発するとどうなるでしょう。治療のために再び歯を削ります。弱くなった歯を削っていくうちに、いずれ歯が割れてしまい、抜歯することになります。
もうお分かりですね。
根管治療は、最初に成功率の高い治療をしないと、歯を守れないのです。

日本の根管治療の成功率は、わずか50%程度です。これに対し、欧米では90%以上の成功率があるといわれています。
その違いは、保険診療の制約です。根管治療の成功率を高める器具や治療法は開発されているのですが、日本では保険診療の制約で普及は進まず、これほどの後れを取ってしまいました。
当院では、成功率を高める治療器具や治療法を積極的に導入し、成功率の高い根管治療を行っています。
しかも、すべて保険診療で対応しています。
以下、当院の根管治療について、詳しくご紹介します。
次の写真をご覧ください。歯の中央に黒く見える部分が「根管」です。極めて複雑な形をしていることがわかります。狭いところは直径1mmもありません。こんなに狭くて複雑な根管から細菌を取り除くのは、大変困難な作業です。

そこで力を発揮するのが、「高倍率ルーペ」です。高倍率ルーペを使えば、患部を何倍にも拡大して見られます。狭くて複雑な根管から、感染部位をしっかり取り除くには、どれだけしっかり見えるかが治療の成否を分けます。


治療の前に、根管の状態を検査します。
多くの歯科医院ではレントゲンで検査をしますが、「2次元」のレントゲンでは初期の患部を見つけにくい上、根管の複雑な形を鮮明に映像化するには力不足です。
そこで当院では、「CT」を使います。CTはお口の周りを360度回転しながら撮影します。お口の中の様子を立体的に映像化してくれるので、根管の様子がしっかりわかります。

神経組織を取り除く作業には、「ファイル」というヤスリのような器具を使います。
多くの歯科医院ではステンレス製のファイルが使われていますが、当院では「ニッケルチタン製」のファイルを使います。ニッケルチタンファイルは柔軟性があり、曲がりくねった根管の中を掃除するのに威力を発揮します。
感染した神経組織をファイルで取り除くと、根管の中は細かい削りカスだらけになります。この削りカスにも虫歯菌が付着しています。これらを手作業で取り除くのはほぼ不可能で、削りカスを残したままフタをして治療を終えてしまう歯科医院もあります。これが、根管治療の成功率が低い原因のひとつでもあります。
当院では、「EDTA」「次亜塩素酸ナトリウム」という薬剤を使って、削りカスを溶かして消毒します。
このような手間をかけて根管内を殺菌し、治療の成功率を高めています。



根管治療の仕上げとして、歯の中にできた空洞を「MTAセメント」という充てん剤で埋めます。この際に重要なのが、すき間を残さないことです。
すき間があると、ここから再び細菌が侵入し、炎症が再発する原因になります。
MTAセメントは、硬くなる際にわずかながら膨張する性質があります。このおかげで、根管の中がすき間なく緊密に埋められます。また、とても硬く、神経を失って弱くなった歯を内側から補強する効果もあります。さらに、殺菌作用、歯を再生する効果などもあり、根管の充てん剤としてうってつけです。

歯の穴をしっかりふさいだら、かぶせ物をして治療は完了です。当院では、審美性・機能性に優れたさまざまな素材のかぶせ物を用意しています。詳しくは、こちらをご覧ください。
炎症が再発すると、歯の根の先端に膿が溜まります。膿の袋が大きいと抜歯を避けられないことがありますが、症状によっては、外科的な治療で抜歯せずに治せることがあります。歯茎を切開して歯の根の先端を切断し、膿の袋を取り出します。この術式を「歯根端切除術」といいます。


先に説明したとおり、日本国内で一般的に行われている根管治療では、半数以上の症例で炎症が再発しています。
そして、再発と治療を繰り返す先にあるものは、「抜歯」です。
神経を取ることになった場合は、どのような治療で再発を防いでいるか、確認されることをお勧めします。
当院では、セカンドオピニオンも受け付けています。
これから根管治療を受けるという方は、ぜひお気軽にご相談ください。
当院では、患者さんが抱えていらっしゃるお口のお悩みや疑問・不安などにお応えする機会を設けております。どんなことでも構いませんので、私たちにお話ししていただけたらと思います。
ご興味がある方は下記からお問い合わせください。