美人は、美しいお口から。
- 自宅で綺麗になろう!~ホームホワイトニング~
- 歯科医院でしっかり白く!~オフィスホワイトニング~
- 色だけじゃなく、形も美しく!~セラミック治療~
- 黒い歯茎を自然なピンクに!~ガムピーリング~


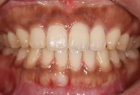
「清潔感あふれる白い歯」「健康的なピンク色の歯茎」そんな人に出会うと、自然と素敵な人だなと思ってしまいます。
あなたもそんな綺麗な”お口”をめざしませんか。そのための方法がいくつかありますので、ご紹介します。

ホワイトニングというと、歯医者さんに通って行うものと思っているかもしれませんか。
ご自宅で、ご自分でカンタンにできる方法があります。歯科医院で患者さん用のマウスピースをお作りし、その後、ご自宅で「専用の薬剤」を入れて歯を白くしていく方法です。
歯科医院で行うホワイトニングより白くなるのに、時間がかかりますが、時間をかけて白くする分、白さが長続きするというメリットがあります。

歯科医院で行うホワイトニングを「オフィスホワイトニング」と言います。
こちらは歯科医院で、プロのスタッフが専用の機材により行うもので、白くなるのが速いことが特徴です。

タバコを吸っていると歯茎が黒くなるという話、聞いたことはありませんか。
歯茎が黒くなるのは、メラニン色素が原因です。
特殊な薬剤を使って歯茎を健康的なピンク色に戻す方法があります。

「セラミック」の被せ物により、歯を綺麗にする方法です。
天然の歯のような美しさが作れますし、歯を白くするだけでなく、
同時に歯並びや形まで綺麗になります。
それでは、各治療法についてさらに詳しくご説明していきます。

専用のマウスピースを作製し、そこに歯を白くする「ホワイトニング剤」を入れ、装着します。装着後は、色素の沈着を防ぐため、なるべく飲食はお控えください。

ホームホワイトニングの薬剤は、歯科医院で行うホワイトニングの薬剤より濃度が低いので、白くなるのにやや時間がかかります。しかし、白さが長期間持続するというメリットがあります。


歯の白さと同じくらいに重要な「歯茎の色」。喫煙習慣がある方、刺激物をよく食べる方は、メラニン色素が生成され、歯茎が黒くなってしまいがちです。
そんな方には「ガムピーリング」が最適です。薬剤により歯茎が自然なピンク色になります。
どれくらい通院が必要かは黒ずみ度合いによって変わります。

セラミック治療を行えば、歯の色だけでなく「歯の形」「歯並び」も美しくすることができます。芸能人のようなきれいな「口元」にカンタンになれます。特に「前歯」が気になっている方にお勧めです。
被せ物をしますので、健康な歯をほんの少し削る必要があります。
しかし、「矯正治療」よりも手軽に「美しい口元」になります。
ご興味のある方は詳しくご説明します。

方法としては、歯科医院で特殊な光を歯に当てて、その化学変化により歯を白くしていくものです。

オフィスホワイトニングは、ホームホワイトニングと比較すると、白さの持続期間が短いです。しかし、「白い度合い」が高いというメリットがあります。

当院では、患者さんが抱えていらっしゃるお口のお悩みや疑問・不安などにお応えする機会を設けております。どんなことでも構いませんので、私たちにお話ししていただけたらと思います。
ご興味がある方は下記からお問い合わせください。